 |

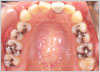
症例 1
- 前歯部交差咬合
- 女性
- Ⅰ期治療、Ⅱ期治療に分けた、2段階治療を行いました。Ⅰ期治療を行ったため、Ⅱ期治療が短期間で終了しました。
- 治療期間 Ⅰ期治療 24ヶ月、Ⅱ期治療8ヶ月
- 非抜歯
- 装置 クリア
- 治療費 @813,095円
|
|
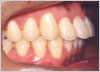
症例 2
- 上顎前突
- 成人女性
- 歯を抜かずに出っ歯が治っています。
- 治療期間 24ヶ月
- 非抜歯
- 装置 クリア
- 総治療費 @880,950円
|
|
症例 3
- 反対咬合
- 成人女性
- 受け口を裏側矯正で治療しました。
- 治療期間 30ヶ月
- 非抜歯
- 装置 裏側
- 総治療費 @1,418,500円
|
|
症例 4
- 骨格性反対咬合
- 成人男性
- 重度の受け口でしたが、手術を併用した矯正治療でとてもきれいに治りました。
- 治療期間 40ヶ月
- 抜歯・外科矯正
- 装置 クリア
- 総治療費 @1,013,250円
|
|
症例 5
- 正中離開、過蓋咬合
- 成人女性
- 治療前、上顎の前歯にあった隙間が治療後には完全に閉じました。
- 治療期間 18ヶ月
- 非抜歯
- 装置 デーモンⅡ
- 総治療費 @767,550円
|
|
症例 6
- 上顎前突
- 成人女性
- 前歯を大きく後退させ、口元の印象を引き締めるため、小臼歯と呼ばれる歯を4本抜歯して治療を進めました。
- 治療期間 23ヶ月
- 抜歯
- 装置 クリア
- 総治療費 @836,850円
|
|
症例 7
- 叢生、上下顎前突
- 女性
- 顎のサイズに比べ歯のサイズが大きすぎ、前に出っ張った歯並びを気にされて来院されました。小臼歯4本抜歯して、顎と歯のサイズを整え、治療を完了しました。
- 治療期間 26ヶ月
- 抜歯
- 装置 サファイア
- 総治療費 @912,450円
|
|
症例 8
- 下顎前突
- Ⅰ期 Ⅱ期 男性
- 重度の受け口を成長期を通じた治療で、歯を抜かず、外科手術をしないで改善しました。
- 治療期間 42ヶ月
- 非抜歯
- 装置 クリア
- 総治療費 @969,150円
|
|
症例 9
- 上顎前突、過蓋咬合
- 成人男性
- 上顎の前歯が内側に倒れこみすぎているため、噛むたびに下顎全体が上の前歯に押さえ込まれてしまいます。出っ歯の一種に分類されます。歯を抜かずに治療を進めました。押さえ込まれていた下顎が自然な位置を取り戻しています。
- 治療期間 30ヶ月
- 非抜歯
- 装置 クリア
- 総治療費 @925,050円
|
|
症例 10
- 開咬、上下顎前突
- 成人女性
- 上下前歯の出っ張った印象と、前歯でものを噛み切りにくい事を改善するために治療を開始しました。小臼歯4本を抜歯して治療をしました。
- 治療期間 18ヶ月
- 抜歯
- 装置 デーモンⅢ
- 総治療費 @851,550円
|
|
症例 11
- 前歯部交差咬合
- 成人女性
- 上の左右側切歯(真ん中から2番目の歯)が内側に引っ込んでいます。歯を抜かずに、歯並びを大きく作り変えました。
- 治療期間 11ヶ月
- 非抜歯
- 装置 クリア
- 総治療費 @792,750円
|
|
|
 |
|